お問合せフォームから質問する
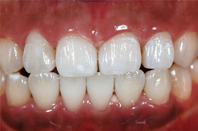
ホワイトニング
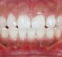
思いっきり笑いませんか?
笑顔に自信を持つために・・・
Whitening
ホワイトニングについて
エステや美容室でのカラーリング、まつ毛エクステ、ネイル・・・歯も白くキレイにしなければ、せっかくの美しさが台無しですよね。今の歯の色が気になる方、また、ご満足している方でも、今より数トーン明るくしてみてください。必ず笑顔に自信が持つことができ、思いっきり笑えるようになります。人前に出ることが多い方や印象を良くしたい方、若々しく美しい口元になりたい方、コーヒーやワイン、タバコ等で歯の黄ばみが気になる方。現在は施術方法にも様々な選択肢がありますので、お気軽にご相談ください。
※医療保険外診療となります。金額はこちらをご参考ください。
該当する歯のトラブル
- 歯が黄色い
- 見た目を改善したい
- ホワイトニングをしたい
わたなべ歯科クリニックの
ホワイトニングはココが違う!
-
Point 1ハイブリッドポリリン
ホワイトニングCheck! いいことづくし
歯を傷つけないので痛みが少ない・効果が持続・むし歯を予防といいことづくしの施術方法をお薦めしています。
お子様からシニアまで安全に使用いただけます。 -
Point 2ホワイトニングサロン
Check! リラックスできる!
治療の音が聞こえない、ホワイトニング専用の清潔な空間で、エステ感覚のようにリラックスして寛ぎながら施術をお受けいただくことができます。
-
Point 3ホームホワイトニング
Check! お手軽!
マウスピースを作製してご自宅で、ご自身のペース、空いた時間でホワイトニングをすることができます。
-
Point 4子供ホワイトニング
永久歯が生え揃った中学生以上のお子様でもホワイトニングができます。
ホワイトニングには「痛い、高い、面倒」といった
マイナスイメージも一般的に浸透しているようです・・・。
でも、心配ありません!
当院がお薦めしている新しい施術方法、
ハイブリッドポリリンホワイトニングは
痛くないうえに
安価で
効果が持続。
特徴
-
従来の3倍の白さ
分割ポリリン酸Naが
漂白効果をアップ -
透明感のある
自然な白さ炭素&プラチナ効果
で透明感のある自然
な白さ -
着色がつき
にくくなる分割ポリリン酸Na
コーティング作用で
ヤニやステインの
再付着を防止飲食物・喫煙
の制限なし -
むし歯になり
にくくなる分割ポリリン酸Na
コーティング作用で
プラークの付着を防ぎ、
むし歯や歯周病を予防 -
痛みがない
シミない分割ポリリン酸Na
が漂白により脱水された
歯質に浸透し、
痛みを防ぐ -
後戻りが少ない
従来のオフィス
ホワイトニングより
圧倒的に後戻りが
少ない
歯を傷つけず
歯質も強化
知覚過敏を
起こしにくい
やればやるほど白くなる
ハイブリットポリリンシステム ホワイトニングしながら虫歯予防&強石灰化をおこないます
従来のホワイトニングと
ハイブリッドポリリン
ホワイトニングの違い
従来のホワイトニング
比較
ハイブリッドポリリンホワイトニング
-
従来のホワイトニング
薬液によって着色するので
透明感のない白さになる白さ
ハイブリッドポリリンホワイトニング
プラチナナノコロイドの効果で
キラキラ輝く自然な白さになる -
従来のホワイトニング
知覚過敏になることもある
痛みを感じやすい痛み
ハイブリッドポリリンホワイトニング
痛みを感じることは非常に少ない
-
従来のホワイトニング
歯をコーティングしていないので
施術直後は特に着色しやすい色戻り
ハイブリッドポリリンホワイトニング
ポリリン酸が歯をコーティングし
汚れも付きづらくなり
透明感のある白さが長持ち -
従来のホワイトニング
ホワイトニング剤を
歯の表面に塗り色素を分解
歯にダメージが残る保護力
ハイブリッドポリリンホワイトニング
ポリリンコーティングにより
歯を傷つけにくく
歯の表面もコーティングされ歯質を強化 -
従来のホワイトニング
カレー・コーヒー・ワインなど施
術直後は特に食事制限があるお食事
ハイブリッドポリリンホワイトニング
施術直後でもまったく食事制限なし
-
従来のホワイトニング
次回まで2〜3週間の期間が必要
施術時間
ハイブリッドポリリンホワイトニング
1日何回でも大丈夫
ポリリンって何?
ポリリンとはポリリン酸のことで、リン酸がたくさん結合したものです。
最近、育毛、細菌抑制、けがを早く治す働きなどがあり、様々な分野で利用されています。
もともと生物の体内に広く分布し、人間の体内にも含まれているもなので、安全な物質です。
料金Cost
-
1回コース
16,900円(税込)
-
2回コース
33,800円 → 32,800円(税込) -
3回コース
48,700円 → 46,700円(税込) -
4回コース
67,600円 → 63,600円(税込) -
5回コース
84,500円 → 78,500円(税込) -
6回コース
101,400円 → 93,400円(税込)※基本的に上下それぞれ10本、計20本を施術します。
流れFlow
-

カウンセリング
ホワイトニングに関する説明をします。お口の状態によっては施術できない場合もあります。
-

歯の色測定
現在の歯の色を確認し、口腔内写真を撮影します。
-

着色やヤニを
綺麗に落とす -

ポリリンキューブ
で歯の清掃 -

薬剤を塗る
マウスガードを装着し、ホワイトニングの薬が歯肉につかないよう保護。ポリリン酸を混ぜた薬剤を一本一本丁寧に塗布していきます。
-

照射
約40度のブルーライトを8分間照射。 なるべく熱が逃げないように機械にタオルを巻きつけ薬剤をふきとりStep5、6を3回繰り返します。
-

口腔内写真撮影
うがい後、再び歯の色の確認を行い、写真撮影をします。
-

終了!
注意事項をご案内して終了になります。
Q&AQuestion
- どれくらいもつのですか?
- 髪の毛をカラーリングしたときの感覚と同じようにお考えいただければと思います。
ただ、後戻りは従来のホワイトニングよりおだやかです。ホワイトニング効果を長持ちさせるには「ポリリンジェルWX」の使用をお薦めしています。
- 何回必要ですか?
- 回数の制限はありません。1回では効果は期待できないため、複数回の施術をおすすめします。やればやるほど白くなります。満足いくまで施術が可能です。
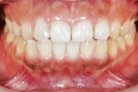
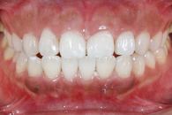
症例Case
20代女性・3回
※自由診療ハイブリッドポリリンホワイトニング 3回コース 46,700円。治療期間3日。
治療期間・費用・仕上がりには個人差があります。副作用・リスク:一時的に歯がしみたり、歯茎が白くなることがあります。
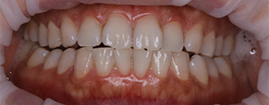
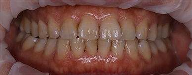
40代女性・4回
※自由診療ハイブリッドポリリンホワイトニング 4回コース 63,600円。治療期間4日。
治療期間・費用・仕上がりには個人差があります。副作用・リスク:一時的に歯がしみたり、歯茎が白くなることがあります。
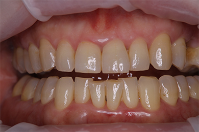
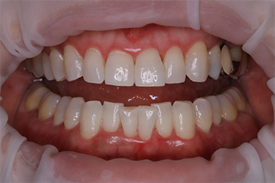
50代女性・10回
※自由診療ハイブリッドポリリンホワイトニング 5回コース×2回 157,000円。治療期間10日。
治療期間・費用・仕上がりには個人差があります。副作用・リスク:一時的に歯がしみたり、歯茎が白くなることがあります。
不安なことやご不明点がありましたら、何なりとお問合せください。
さらにAnd more
ポリリンプラチナホワイトニングと合わせてご使用いただくと、効果のあるアイテムです。受付で販売しておりますので、ご自宅用にどうぞ。
お子様からシニアまで安全に使用可能!
薬用ポリリンジェル
メンテナンスできるはみがきジェル
有効成分(ポリリン酸 ナトリウム、グリチル リチン酸ジカリウム)を配合した薬用クロワールはみがきジェル。
口内のケアをお考えの方、むし歯や歯周病を予防したい方、珈琲やタバコなどの汚れが気になる方、口臭が気になる方におすすめです。
- 使い方
- 市販のハミガキ粉と同じようにお使いください。
- 着色が再び
つくのを防止 - むし歯・歯周病
予防に - ツルツルで
白い歯を維持 - 歯の再石灰化
を促進
薬用ポリリンジェルWX(50g)医薬部外品 3,030円
ポリリンキューブホワイト
持ち運べるホワイトニング
ポリリン酸ナトリウムのリキッドをしみこませた、歯科用のメラミンフォーム(スポンジ)。
歯の表面の着色やヤニを消しゴムのように気軽に落とすことができ、本来の歯の白さが戻ります。
- 使い方
- 着色の目立つ歯の表面を、消しゴムのように
キュッキュッとこするだけ!
- 使いきりだから
気軽で清潔 - 水なしで
ピカピカに - 削らないのに
自然な白さへ - 磨くだけで
コーティング
1本220円 3本入り600円 5本入り980円
ホワイトニングをやってみたいけど、人に見られたくないし、忙しくて通院時間がとれない。
そんな方には、
ご自宅で行なっていただくホームホワイトニングをおすすめします。
施術の方法は、まずご自分の歯に合ったマウスピースを作製しますので、マウスピースとホームホワイトニング専用ジェルをお持ち帰りいただきます。
シリンジから決められた量をマウスピースに垂らし、歯にマウスピースをはめ込み、40分程そのままの状態を維持するだけで1回目が終わりになります。
そのサイクルを5日間から1週間続けることで効果が出てきますのでご自身のペース、空いた時間でホワイトニングをすることができてとってもお手軽!
料金Cost
-
トレー、ホワイトニングジェル2本
44,000円(税込)
-
追加ジェル2本
5,500円(税込)
オフィスホワイトニングと併用していただくことでより早い効果が期待でき、後戻りを防ぐとともに効果を持続できます。
気になる方はお気軽にスタッフまでお声がけください。
ホワイトニング前の処置 Caution!
歯周病やむし歯がある方は、その治療がすべて終了してからの処置になります。
また、プラークや歯石、着色がヤニが多い場合は、先にクリーニングをしっかりしてから(これだけでもかなり白くなります!)ホワイトニングを進めていきます。
Open
大好評!
ホワイトニングサロンルーム
を完備しています
ゆっくり寛いで、ご利用いただけます。
治療の音が聞こえない白を基調とした清潔な空間。
エステ感覚でリラックスできるホワイトニング専用の
サロンルームをご用意しています。
ウェディング前の
デンタルエステ
こんなときもおすすめ
純白のウェディングドレスにお化粧、エステ、ネイル、ヘアーのセットもバッチリきめたのに歯だけは何もしない…。黄ばんだ歯は思った以上に目立ちます!
ポリリンプラチナホワイトニングであれば、お忙しいウェディング前でもご自宅で気軽にできます。
- 思いっきり笑いたい
- 人前で話す機会がある
- 笑顔を好印象にしたい
- 若々しくなりたい
中学生以上のお子様には、着色・プラーク付着予防・歯質強化のできる「ポリリンコーティング」をお薦めしています。
※永久歯が生え揃っていない小学生以下のお子様にはホワイトニングは行っておりません。不安なことやご不明点がありましたら、何なりとお問合せください。
予約方法
お電話での予約をご利用ください。
予約制
診療日
| 月 | 火 | 水 | 木 | 金 | 土 | 日 | 祝祭日 |
|---|---|---|---|---|---|---|---|
| ● | ● | ○ | ○ | ● | ● | × | × |
※当面の間、水曜もしくは木曜休診となります。
診療受付時間
9:00-12:30,15:00-18:00
ご予約いただいた患者様を優先いたします。
※当面の間、水曜もしくは木曜休診となります。
ご予約いただいた患者様を優先いたします。
初めての方へお願い
新患・急患は随時受付しておりますが、
初めてご来院する際は、できる限りお電話にてご予約ください。
※初診の最終受付は午前12:00、午後6:00となります。
当院は完全予約制・予約優先治療制です
当院では丁寧かつ円滑な治療を行うために、
予約制を導入しております。
必要な費用は事前にお伝えします。
最新のテクノロジーを融合して
歯の白さと歯質強化(強石灰化)を実現した
第5世代のホワイトニングシステム。
それがハイブリッドポリリンホワイトニング
です!